We Accept CDCP. Want to confirm your coverage? Tap to learn more.

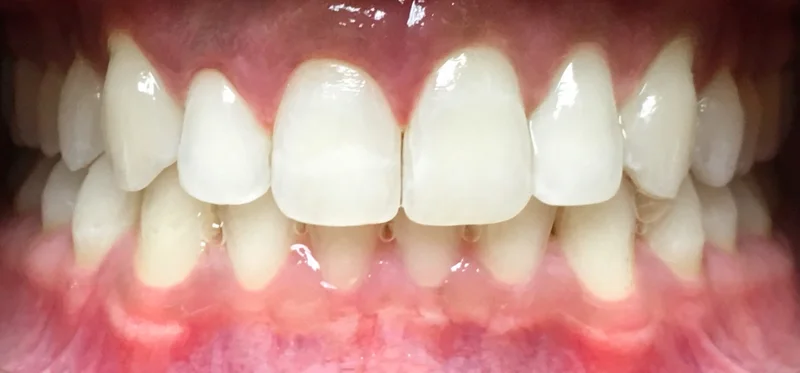
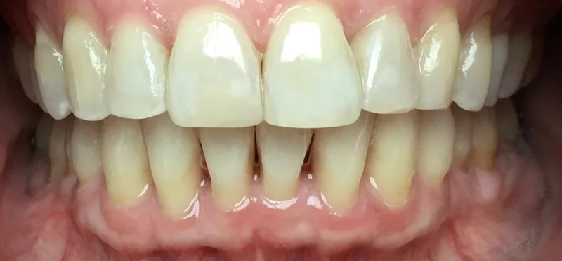
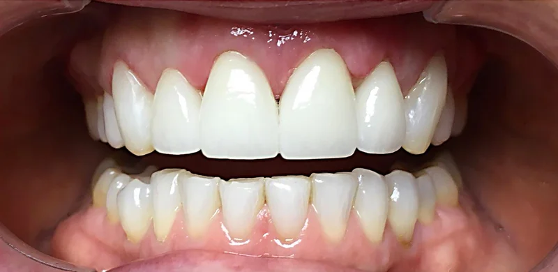
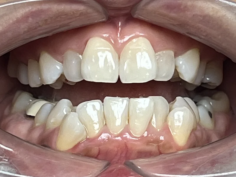
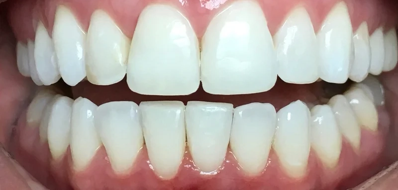
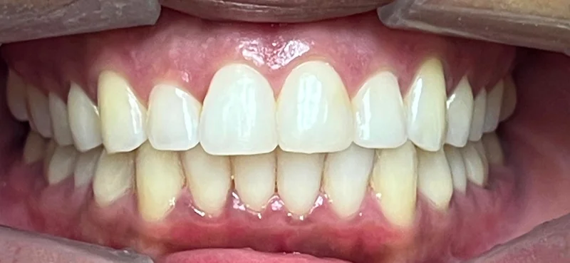
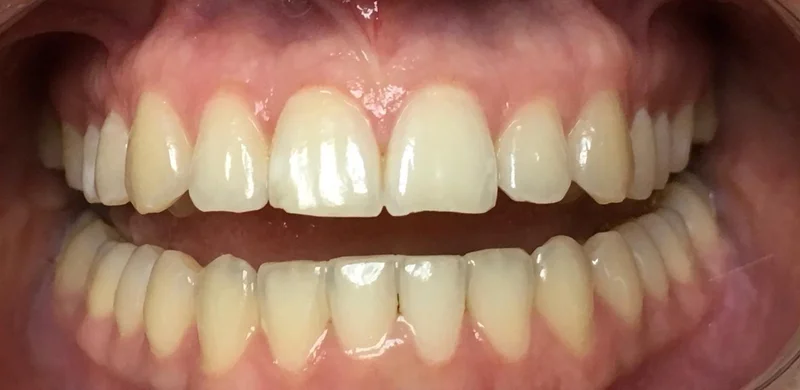
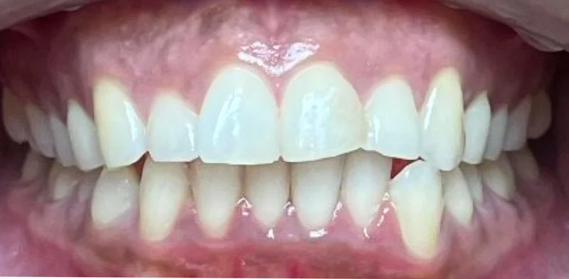
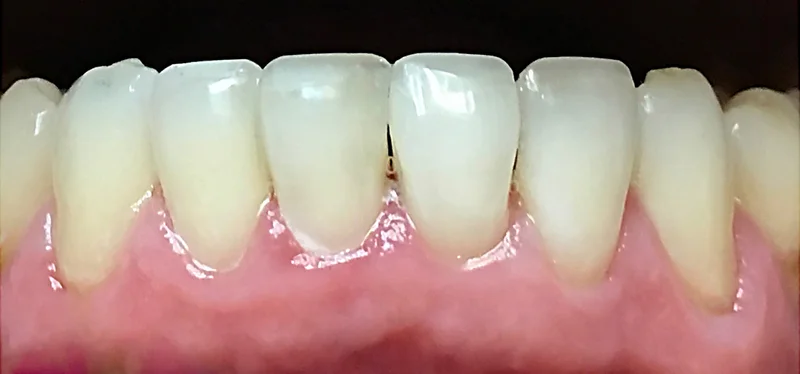
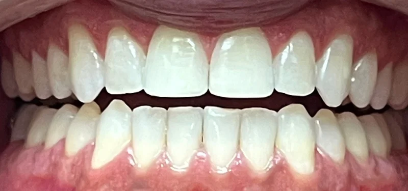
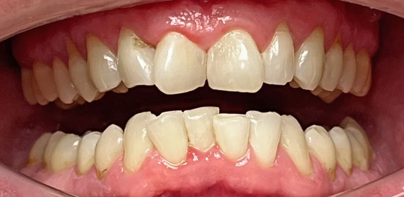
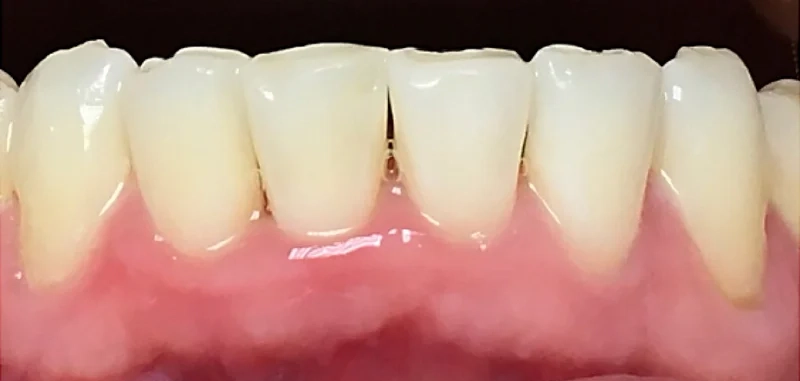
Gallery

Accepting New Patients

Looking for a dentist? We're accepting new patients. Contact us to book your first visit.

Book Appointment